Posts

5A727C7C-4871-4E55-9827-578698B4A497

When Are Bleeding Gums a Warning Sign?

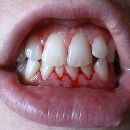
Many people notice a little bleeding when brushing or flossing and assume it is normal. In reality, bleeding gums are often one of the earliest signs that your gums need attention.

Healthy gums should not bleed during daily brushing or flossing. When bleeding occurs consistently, it usually signals inflammation caused by bacteria along the gumline.

The good news is that when caught early, gum problems are very treatable and often reversible.

At Bright Star Dental in Las Cruces, Dr. Tyler Parsons helps patients identify gum issues early so they can protect both their smile and their overall health.

2805428.jpg
bleeding-gums-scaled

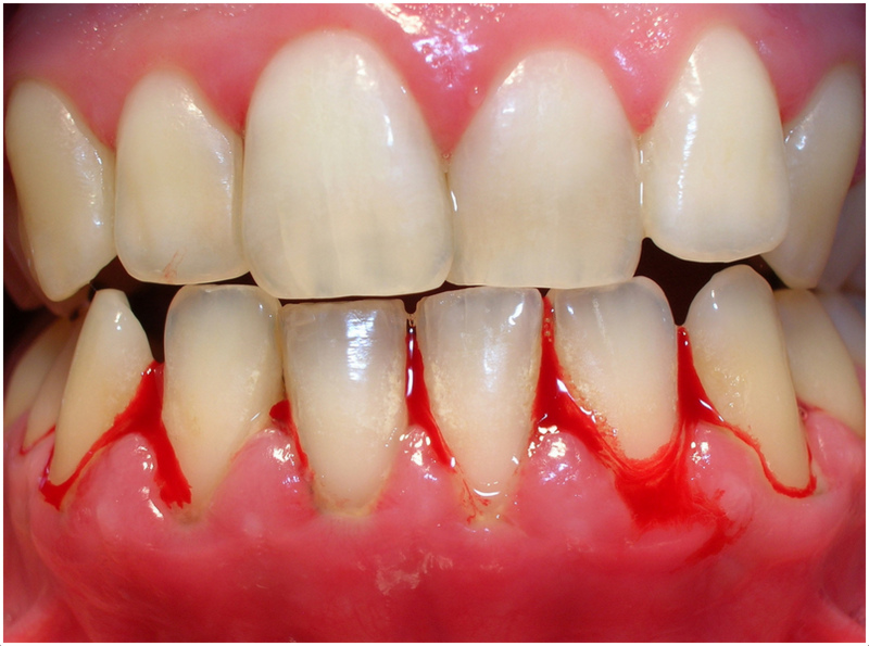
Why Gums Start to Bleed

Bleeding gums are most commonly caused by plaque buildup near the gumline. Plaque contains bacteria that irritate the gum tissue and trigger inflammation.

Over time, this irritation can lead to a condition called gingivitis, which is the earliest stage of gum disease.

Common causes of bleeding gums include:

Plaque buildup along the gumline
Inconsistent flossing habits
Inflamed gum tissue
Hormonal changes
Certain medications
Underlying gum disease

Many patients notice bleeding when they begin flossing again after a break. This usually means the gums are inflamed rather than injured.

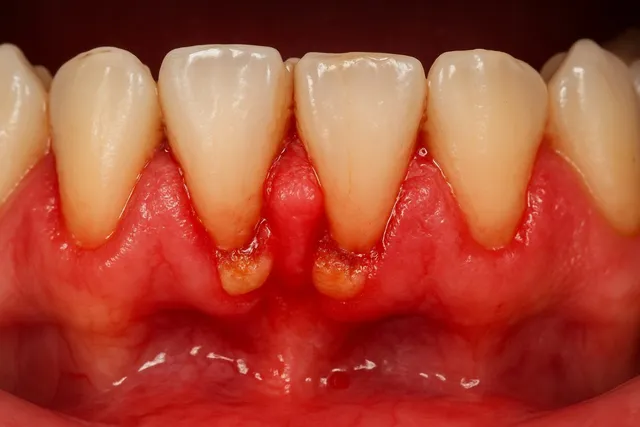
Early Warning Signs of Gum Disease

Bleeding is often the first noticeable symptom, but other signs may also appear.

You may notice:

Red or swollen gums
Tenderness along the gumline
Persistent bad breath
Gums that seem to pull away from teeth
Sensitivity when brushing

Recognizing these early symptoms allows treatment to begin before more serious damage occurs.

Slight cracked teeth
Bleeding-gums.jpg
10687-ai-image-gum-disease-640w.jpg

Why Gum Health Matters

Your gums are the support system for your teeth. When gum disease progresses, it can damage the bone that holds teeth in place.

Research has also linked chronic gum inflammation to broader health concerns, including heart disease and diabetes.

Maintaining healthy gums is an important part of protecting overall wellness.

What You Should Do If Your Gums Bleed

If your gums bleed occasionally, improving your home care routine may resolve the issue.

Focus on:

Brushing gently twice daily
Flossing consistently
Using a soft bristled toothbrush
Scheduling regular dental cleanings

If bleeding continues for more than a week or two, it is important to have your gums evaluated by a dental professional.

swollen-gums-how-to-stop-bleeding-gums
laser dentistry to help gum disease

Modern Treatment Options for Gum Health

Today’s dentistry offers more comfortable and precise treatment options than ever before.

At Bright Star Dental, Dr. Parsons may recommend professional cleanings, personalized gum care plans, or advanced technology such as laser gum treatment when needed.

Laser dentistry can help remove bacteria and inflamed tissue with remarkable precision while promoting faster healing.

Protecting Your Smile

The most important thing to remember about bleeding gums is that they are often a signal your body is sending.

Paying attention to that signal and addressing it early helps protect your teeth, your gums, and your long term health.

If you have noticed bleeding gums, scheduling an evaluation is a simple step that can prevent more serious problems later.

Dr. Tyler Parsons and the team at Bright Star Dental are dedicated to helping patients in Las Cruces maintain strong, healthy smiles for years to come.

Frequently Asked Questions