Posts

bleeding-gums-4

Gentle Laser Gum Treatment: A Modern Solution for Healthier Gums

Laser Gum Treatment: What to Expect

Modern dentistry has become quieter, gentler, and more precise. One of the most exciting advancements helping patients experience more comfortable care is laser dentistry.

At Bright Star Dental in Las Cruces, Dr. Tyler Parsons uses advanced Diode+ laser technology to treat gum concerns with remarkable precision and minimal discomfort. For patients who feel nervous about traditional gum procedures, laser treatment often feels like a completely different experience.

If you have been told you may need treatment for gum disease or inflamed gum tissue, understanding what to expect can help you feel confident and prepared.

Dental laser used on a patient on soft and hard tissue. Dental health, modern technology and oral hygiene concept.
slight cracked tooth

Why Gum Treatment Matters

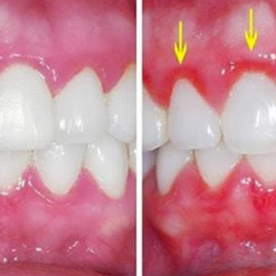
Healthy gums are the foundation of a healthy smile. When bacteria accumulate around the gumline, inflammation can develop. Over time this can lead to gum disease, which may cause bleeding, tenderness, and even bone loss if left untreated.

Laser gum therapy allows dentists to target bacteria and infected tissue while protecting the surrounding healthy gum structure.

The goal is simple. Remove the harmful bacteria and help the gums heal naturally.

What Is a Diode Laser

A diode laser is a small, highly focused instrument that uses light energy to treat soft tissue. Instead of using traditional surgical tools, the laser gently removes diseased tissue and reduces bacteria in the treatment area.

Because the laser is extremely precise, surrounding healthy tissue is preserved and healing is often faster.

Many patients describe the experience as surprisingly comfortable.

Soft tissue laser treatment
Using-a-modern-method-of-laser-teeth-treatment.jpg

What Happens During Treatment

Your visit begins with a thorough examination so Dr. Parsons can evaluate your gum health and determine whether laser therapy is the best option.

During treatment, the Diode+ laser is used to carefully remove infected tissue and disinfect the area. The laser also helps seal small blood vessels, which typically reduces bleeding and swelling.

Patients often notice that the procedure feels calmer than traditional gum treatments. Many treatments require little or no anesthesia depending on the area being treated.

Recovery and Healing

One of the biggest advantages of laser gum therapy is the recovery experience.

Because the laser minimizes trauma to the surrounding tissue, patients often experience:

Less bleeding
Less swelling
Minimal discomfort
Faster healing

Most patients return to their normal routine the same day. Dr. Parsons will provide simple aftercare instructions to help your gums heal smoothly.

gums-healthy-01
Gum disease

Is Laser Gum Treatment Right for You

Laser dentistry is commonly used to treat:

Early to moderate gum disease
Inflamed gum tissue
Bacterial infection around the gums
Certain cosmetic gum reshaping procedures

During your consultation, Dr. Parsons will explain your options and recommend the approach that best protects your long term oral health.

Modern Dentistry Designed for Comfort

At Bright Star Dental, investing in advanced technology is not about gadgets. It is about improving the patient experience.

Laser dentistry allows treatments to be more conservative, more precise, and far more comfortable than many patients expect.

If you have been avoiding treatment because of concerns about discomfort, laser gum therapy may completely change the way you think about dental care.

Don't Put This Off!

If you have noticed bleeding gums, sensitivity, or changes in your gum health, scheduling an evaluation is the best first step.

Dr. Tyler Parsons and the team at Bright Star Dental are committed to providing thoughtful, modern dental care in a calm and welcoming environment.

Your gums support your smile. Protecting them today helps preserve your health for years to come. Patients looking for laser gum treatment in Las Cruces appreciate the precision and comfort that diode laser dentistry provides.

unhealthy gums

Frequently Asked Questions