Posts

How-Much-is-the-Curodont-Price-in-Phoenix-AZ-1024x614

Stop Cavities Before they Start

When Dr. Parsons first said the word “Curodont,” my immediate reaction was to smile and say, “bless you.”

But he was not sneezing. He was talking about something that is quietly changing the way we treat cavities.

For years, many of us have heard the same phrase at the dentist, “we will just keep an eye on that tooth.” It usually meant waiting and hoping it would not turn into something bigger.

Now, we do not always have to wait. With treatments like Curodont, we can step in early, help stop the process, and even prevent a cavity from forming altogether.

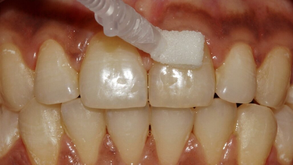
Curodont-Repair-Fluoride-Plus-Our-experience-has-been-extremely-positive_1
Dr. Parsons applying Curodont

What Is Curodont

Curodont is a non invasive dental treatment designed to help repair early tooth decay before it becomes a full cavity.

Instead of drilling and filling, Curodont works by supporting your tooth’s natural ability to remineralize. It uses a special peptide based technology that penetrates the early lesion and helps rebuild the tooth structure from within.

In simple terms, it helps your tooth heal itself in the very early stages of decay.

How It Works

When a cavity first begins, it starts as a tiny area of demineralization, often too small to require a filling but still a sign that the tooth is under stress.

Curodont is applied directly to that early area. The treatment seeps into the microscopic pores of the enamel and creates a framework that attracts minerals like calcium and phosphate.

Over time, this process helps restore the strength and integrity of the enamel, stopping the progression of decay.


Why This Is Such a Big Deal

Traditionally, dentistry has been reactive. They monitor early spots and intervene once the damage progresses.

Curodont allows Dr. Parsons to be proactive.

That means:

  • Fewer fillings over time

  • Preservation of your natural tooth structure

  • A more comfortable experience without drilling

  • Lower long term dental costs

It is a simple shift, but one that can make a meaningful difference in your overall dental health.

tooth in need of curodont
Curodont application

What It Feels Like

One of the best parts about Curodont is how easy the process is for patients.

There is:

  • No drilling

  • No numbing

  • No discomfort

The solution is gently applied during your visit, and you can return to your day immediately after.

wwdwddwdw.png

Who Is a Good Candidate

Curodont is ideal for patients with very early signs of tooth decay, often seen as small “watch areas” on the enamel.

It may be recommended if:

  • You have early enamel lesions

  • You have been told to “watch” a tooth

  • You want to avoid fillings whenever possible

  • You are looking for a more preventive approach to dental care

Dr. Tyler Parsons will evaluate your teeth and determine if this treatment is the right fit for you.

A Smarter, More Preventive Approach

At Bright Star Dental, we believe dentistry should be as conservative and patient focused as possible.

Curodont fits beautifully into that philosophy. Instead of waiting for a problem to grow, we can often address it early and protect your smile in a simpler, more natural way.


Protect Your Smile Before It Needs Repair

If you have ever been told to “keep an eye on a tooth,” it may be worth asking if there is a better option.

Curodont gives us the ability to intervene earlier, preserve more of your natural tooth, and help you avoid more extensive treatment down the road.

Schedule your visit with Bright Star Dental today and discover a more modern, preventive approach to your dental care.