Posts

Woman with smile no dry mouth

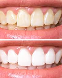
A Brighter Smile in Just One Visit

yellow-teeth

Professional Teeth Whitening 

You catch a glimpse of yourself in a photo or mirror and something feels just a little off. Your smile still looks healthy, but it doesn’t have that same brightness it once did. Maybe it’s years of coffee, tea, or red wine. Maybe it’s just life.

You find yourself smiling a little less, or editing photos more than you used to.

At Bright Star Dental, we see this every day. The good news is that restoring a brighter, more youthful smile is one of the simplest and most rewarding things we can do and the results can be immediate.

Why Teeth Lose Their Brightness

Even with excellent brushing and flossing habits, teeth naturally darken over time.

Common causes include:

  • Coffee, tea, and red wine

  • Tobacco use

  • Natural aging of enamel

  • Certain medications

Over-the-counter whitening products promise results, but they often fall short or come with uncomfortable sensitivity.

smoking, plaque on teeth



human teeth after smoking. Brown resinous plaque on teeth close-up. Smoking harm concept
Why-Do-Teeth-Get-Stained

The Difference with Professional Whitening

Professional teeth whitening is designed to be both more effective and more comfortable.

At Bright Star Dental, we offer two carefully designed options so you can choose what fits your lifestyle and goals.

ZOOM! In-Office Whitening

If you want fast, dramatic results, this is the option patients love most.

In a single visit, your smile can be noticeably brighter by several shades. The treatment is safe, controlled, and customized to you, giving you immediate results that simply are not possible with store-bought products.

This is a perfect option before a special event, photos, or anytime you want a quick transformation.

Whitening for Life Program

For patients who prefer flexibility and long-term maintenance, our Whitening for Life program offers custom take-home trays designed specifically for your smile.

These trays ensure even, consistent whitening and allow you to maintain your results over time. It is a more personalized and effective alternative to generic strips.


What About Sensitivity

One of the biggest concerns patients have is sensitivity.

Both of our whitening options are formulated to brighten your teeth multiple shades while minimizing the discomfort often associated with over-the-counter products. Because your treatment is supervised and customized, we can adjust it to keep you comfortable.

zoom whitening session
Tooth-Pain-2
Dr. Parsons consulting on a smile makeover
Bright Smile

Is Teeth Whitening Right for You

If your teeth are healthy and free of untreated decay or gum disease, whitening is often a simple and effective way to enhance your smile.

During your visit, Dr. Tyler Parsons will evaluate your teeth and help you choose the option that will give you the best results.


A Simple Way to Feel More Confident

A brighter smile does more than improve your appearance. It changes how you feel. Patients often tell us they smile more, feel more confident in photos, and simply feel like themselves again.

If your smile doesn’t feel as bright as it once did, this may be one of the easiest ways to refresh your look.


Ready to Brighten Your Smile

Whether you want instant results or a long-term solution, Bright Star Dental has a whitening option designed for you.

Schedule your visit today and discover how simple it can be to love your smile again.